MRI 조영제
"오늘의AI위키"의 AI를 통해 더욱 풍부하고 폭넓은 지식 경험을 누리세요.
1. 개요
MRI 조영제는 자기 공명 영상(MRI)에서 조직 내 물 분자의 수소 원자핵의 이완 시간에 영향을 주어 영상의 대조도를 높이는 데 사용되는 물질이다. 주로 가돌리늄(Gd)을 포함하는 상자성 조영제가 사용되며, 혈관 강조 및 뇌종양 진단에 유용하다. MRI 조영제는 혈류 주사 또는 경구 투여 방식으로 사용되며, 가돌리늄 조영제는 거대고리형과 선형 분자 구조로 분류된다. 가돌리늄 조영제는 일반적으로 안전하지만, 드물게 아나필락시스 유사 반응이 발생할 수 있으며, 신장 기능 저하 환자에게 투여 시 신원성 전신 섬유증(NSF)의 위험이 있다. 초상자성 조영제는 산화철 나노입자를 기반으로 하며, T2 신호를 감소시켜 간 병변 평가에 사용되었으나 현재는 대부분 사용이 중단되었다. 그 외 망간 킬레이트, 포르피린, 프탈로시아닌 등 다양한 조영제가 연구되고 있으며, 위장관 영상에는 경구 조영제가 사용될 수 있다.
더 읽어볼만한 페이지
- MRI 조영제 - 가도테리돌
2. 작동 원리
MRI 조영제는 주로 조직 내 물 분자의 수소 원자핵(양성자)의 이완 시간에 영향을 주어 영상의 대조도를 변화시킨다. MRI 스캐너에서 신체는 강력한 자기장에 노출되고, 조직 내 물의 수소 핵("스핀")은 자기장 방향으로 편광된다. 강렬한 무선 주파수 펄스가 가해져 수신기 코일 방향으로 수소 핵에 의해 생성된 자화가 기울어져 스핀 편광을 감지할 수 있다. 핵 스핀의 공명 주파수와 일치하는 무작위 분자 회전 진동은 순자화를 적용된 자기장과 정렬된 평형 위치로 되돌리는 "이완" 메커니즘을 제공한다. 수신기에 의해 감지된 스핀 편광의 크기는 MR 이미지를 형성하는 데 사용되지만, T1 이완 시간으로 알려진 특성적인 시간 상수로 감소한다.
서로 다른 조직의 물 양성자는 서로 다른 T1 값을 가지며, 이는 MR 이미지에서 대비의 주요 원인 중 하나이다. 조영제는 일반적으로 인접한 물 양성자의 T1 값을 단축시키지만, 경우에 따라 증가시켜 이미지의 대비를 변경한다. 임상에서 사용되는 대부분의 MRI 조영제는 인접한 조영제와의 상호 작용을 통해 조직 내부 양성자의 T1 이완 시간을 단축시켜 작동한다. 조영제 내 강자성 금속 이온의 열적으로 구동되는 운동은 유도된 편광의 감쇠율을 향상시키는 이완 메커니즘을 제공하는 진동 자기장을 생성한다. 검사 중인 조직의 공간 영역에 걸쳐 이 편광을 체계적으로 샘플링하는 것이 이미지 구성의 기초를 형성한다.
MRI 조영제는 관심 대상에 따라 혈류 주사 또는 경구 투여할 수 있다. 경구 투여는 인간 위장관 스캔에 적합하며, 혈관 내 투여는 다른 대부분의 스캔에 더 유용하다.
2. 1. 상자성 조영제
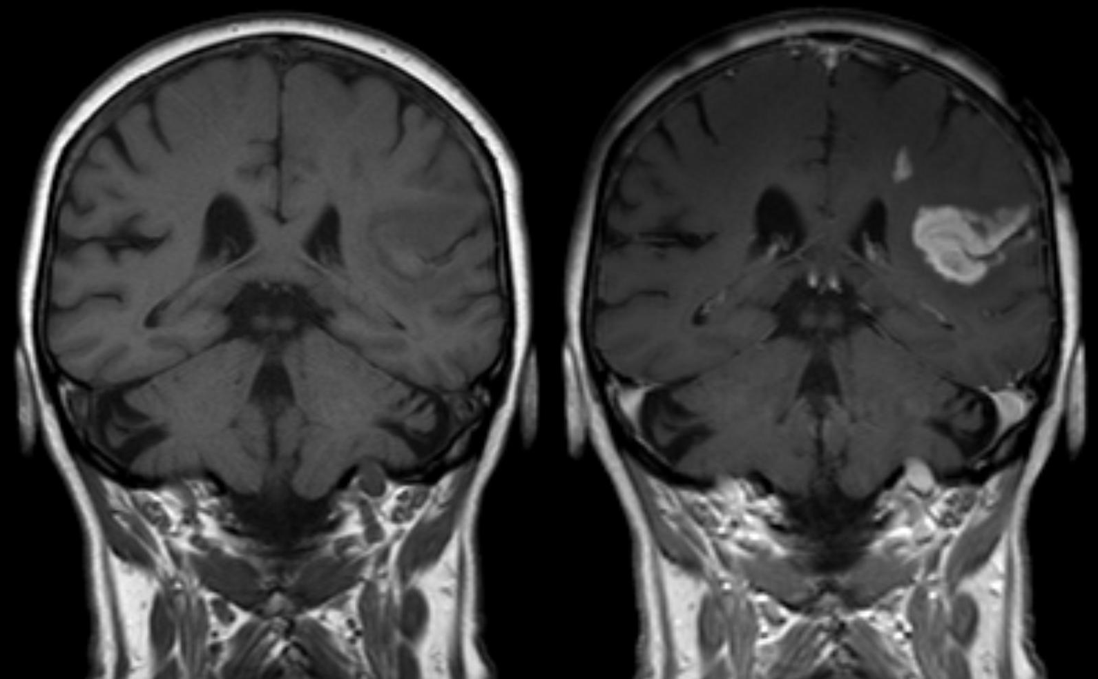
자기 공명 영상(MRI)에서 상자성 조영제는 주변 물 분자의 T1 이완 시간을 단축시켜 영상의 대비를 높이는 역할을 한다. 가장 널리 사용되는 것은 가돌리늄(Gd) 기반 조영제이다.[72]가돌리늄(Gd) 기반 조영제는 자기 공명 혈관 조영술(MRA)에서 혈관을 강조하거나, 혈액뇌관문이 손상된 뇌종양, 염증, 감염 등의 진단에 유용하다. 가돌리늄(III) 킬레이트는 친수성이기 때문에 정상적인 혈액뇌관문은 통과하지 못한다. 따라서 손상된 혈액뇌관문을 통해 가돌리늄(III)이 새어 나오는 부위를 강조하여 병변이나 종양을 발견하는 데 도움을 준다.
일반적으로 대동맥과 같은 굵은 혈관에는 체중 1kg당 0.1 밀리몰의 저용량으로 투여하지만, 가는 혈관계에는 이보다 높은 농도로 사용하기도 한다.[72] 신체의 다른 부위에서는 가돌리늄(III)이 순환계에 머무르다가 간질강으로 분포하거나 신장을 통해 배설된다.

2. 1. 1. 가돌리늄 조영제의 종류
MRI 조영제는 킬레이트 구조, 이온성 여부, 배설 경로 등에 따라 다양한 종류로 나뉜다. 다음은 가돌리늄(Gd)을 포함하는 조영제를 분류한 것이다.[71]
가도세트산은 간담도 조영제로 사용되며, 투여량의 50%는 간에서, 50%는 신장에서 배설된다.
2. 1. 2. 가돌리늄 조영제의 안전성
가돌리늄 기반 조영제는 요오드화 조영제(방사선 조영제)보다 부작용 범위가 넓다.[30] 아나필락시스 유사 반응은 드물지만, 약 0.03–0.1%에서 발생한다.[75]가돌리늄 조영제는 다른 조영제에 비해 안전하다고 여겨져 왔지만, 여러 위험성을 지적하는 연구 결과도 존재한다. 동물 실험에서 유리 가돌리늄(Gd3+) 이온은 100–200 mg/kg에서 중간 치사량을 나타내지만, 킬레이션을 통해 독성이 감소하여 반수 치사량이 100배 증가한다. 이는 요오드화 X선 조영제 화합물과 거의 같다.[76] MRI 조영에 사용되는 가돌리늄 킬레이트의 캐리어 분자는 대환상 또는 직선 구조인지, 이온성인지에 따라 분류할 수 있다. 환상 이온성 Gd (III) 화합물은 Gd (III) 이온이 방출될 가능성이 가장 낮다고 여겨지므로 가장 안전하다.[77]
가돌리늄은 여러 번의 MRI 촬영 후, 오랜 시간이 지나도 뇌, 심장, 신장, 간 등 체내에 잔존한다는 것이 밝혀졌다.[31][32] 잔류량은 주사 시 신장 손상 유무, 리간드의 분자 기하학, 투여된 용량에 따라 다르다. 가돌리늄 조영제가 인체에 유해하다는 증거는 발표되지 않았지만, 이러한 잔존이 건강에 미치는 영향은 아직 미지수이다. FDA는 가돌리늄 조영제의 사용을 필요한 정보를 얻을 수 있는 검사로 제한하도록 권고하고 있다.[78]
시험관 내 연구에서 가돌리늄 기반 조영제가 신경독성을 나타냈으며,[33] MRI의 치상 핵에서 신호 강도(가돌리늄 침착을 나타냄)가 언어 유창성 저하와 상관관계가 있다는 연구 결과도 있다.[34]
가돌리늄 조영제 노출 후 뇌 및 기타 조직에 가돌리늄이 잔류한다는 증거가 계속 나타나면서, 유럽 의약품청(EMA)은 안전성 검토를 실시했다. 그 결과, 2017년에 가돌리늄 결합 친화력이 낮은 대부분의 선형 가돌리늄 기반 조영제의 정맥 내 사용 승인을 제한하거나 중단했다.[16][40]
미국 FDA는 가돌리늄 기반 조영제에 대한 경고 등급을 수정했다. 가돌리늄 기반 조영제 사용은 잔류 특성을 신중히 고려해야 하며, 평생 여러 번 투여가 필요한 환자, 임산부, 소아 환자, 염증성 질환이 있는 환자에게는 특별한 주의가 필요하다고 권고한다. 반복적인 가돌리늄 조영제 사용은 최소화해야 하지만, 필요한 검사를 피하거나 연기해서는 안 된다.[41] 2017년 12월, FDA는 모든 가돌리늄 기반 조영제에 이러한 경고를 포함하도록 요구했으며, 환자 교육을 강화하고, 조영제 공급업체에게 추가 연구를 수행하도록 요구했다.[42]
프랑스 보건청은 가돌리늄 조영제를 사용할 때 가장 낮은 용량을 사용하고, 필수적인 진단 정보를 얻을 수 없는 경우에만 사용하도록 권장한다.[43]
세계 보건 기구는 2009년 11월에 여러 가돌리늄 조영제 사용에 대한 제한을 발표했다. 고위험 가돌리늄 함유 조영제(옵티마크, 옴니스캔, 마그네비스트, 마그네기타, 가도-MRT 라티오팜)는 심각한 신장 문제가 있는 환자, 간 이식을 받았거나 받을 예정인 환자, 생후 4주 미만의 신생아에게 금기한다고 밝혔다.[44]
임신 중 자기 공명 영상에서 가돌리늄 조영제를 임신 첫 삼 분기에 사용하면 여러 형태의 류마티즘, 염증성 질환, 침윤성 피부 상태의 아동기 진단 위험이 약간 증가하는 것으로 나타났다.[45] 임신 2, 3 삼 분기에 가돌리늄 조영제를 사용하면 사산 또는 신생아 사망 위험이 약간 증가하는 것으로 나타났다.[45]
급성 또는 만성 신장 질환 환자에게 가돌리늄 킬레이트 사용은 신원성 전신 섬유증(NSF)을 유발할 수 있다.[17][18][19] 이는 경화 점액 부종과 유사한 희귀하고 심각한 전신 질환으로, 조영제 주사 후 몇 달 후에 발생할 수 있다.[20] 신장 기능이 심각하게 저하된 환자는 NSF 위험이 더 높으며, 투석 환자는 경미한 만성 신장 질환 환자보다 위험이 더 크다.[21][22] NSF는 선형 및 고리형 가돌리늄 함유 MRI 조영제 모두에서 발생할 수 있지만, 선형 조영제에서 더 자주 발생한다.[23][24]
2. 2. 초상자성 조영제
초상자성 산화철(SPIO)과 초소형 초상자성 산화철(USPIO) 두 가지 유형의 산화철 조영제가 존재한다. 이러한 조영제는 산화철 콜로이드 나노입자의 현탁액으로 구성되어 있으며, 영상 촬영 중에 주입되면 흡수 조직의 T2 신호를 감소시킨다. SPIO 및 USPIO 조영제는 간 병변 평가에 사용되었다.[46][47]
2. 3. 기타 조영제
망가포디피르(Mn-DPDP)는 망간(II) 킬레이트의 일종으로, T1 신호를 향상시키는 효과가 있다.[57] 이 킬레이트는 체내에서 망간과 DPDP로 분리되는데, 망간은 담즙으로 배설되고 DPDP는 신장 여과를 통해 제거된다.[58] 망가포디피르는 다발성 경화증과 같은 신경퇴행성 질환의 인간 신경 영상 임상 시험에 사용된 바 있다.[59][60] 망간(II) 이온은 동물 연구에서 조영제로 자주 사용되며, 이를 MEMRI (망간 증강 MRI)라고 부르기도 한다.[61] Mn2+ 이온은 칼슘 수송 채널을 통해 세포 안으로 들어갈 수 있어 기능적 뇌 영상 촬영에 활용된다.[62]포르피린 및 프탈로시아닌을 포함하는 망간(III) 킬레이트도 연구되었다.[57]
산화 철 기반 나노입자는 많이 연구되었지만, 망간(Mn) 기반 나노입자에 대한 연구는 상대적으로 초기 단계에 머물러 있다.[63]
초상자성 철-백금 입자(SIPP)는 산화 철 나노 입자보다 T2 완화율이 더 우수한 것으로 보고되었다. SIPP는 인지질로 캡슐화되어 인간 전립선암 세포를 표적으로 하는 다기능 SIPP 스텔스 면역 미셀을 생성하기도 한다.[56] 그러나 이러한 제제들은 아직 인간에게 사용되지 않은 연구용이다. 최근 연구에서는 다기능 SIPP 미셀을 합성하여 전립선 특이 막 항원에 대한 단클론 항체에 접합시켰으며,[56] 이 복합체는 시험관 내에서 인간 전립선암 세포를 특이적으로 표적화하여, SIPP가 ভবিষ্যতে 종양 특이적 조영제로 사용될 가능성을 보여주었다.
3. 투여 경로
MRI 조영제는 관심 대상에 따라 혈류에 주입하거나 경구 투여할 수 있다. 경구 투여는 인간 위장관 스캔에 적합하며, 혈관 내 투여는 다른 대부분의 스캔에 더 유용하다.[71]
다양한 경구 조영제가 위장관의 영상을 향상시킬 수 있다. 여기에는 T1 신호 향상을 위한 가돌리늄 및 망간 킬레이트 또는 철 염이 포함된다. SPIO, 황산 바륨, 공기 및 점토는 T2 신호를 낮추는 데 사용되었다. 블루베리와 녹차와 같이 망간 농도가 높은 천연 제품도 T1 증가 조영 증강에 사용할 수 있다.[104]
퍼플루브론은 소아 영상 촬영을 위한 위장관 MRI 조영제로 사용되어 왔다.[105]
4. 윤리적 고려 사항
가돌리늄 조영제는 다른 조영제에 비해 안전하다고 알려져 왔지만, 위험성을 지적하는 연구 결과도 있다. 동물 실험에서 유리 Gd (III) 이온은 100–200 mg/kg에서 반수 치사량을 보였으나, 킬레이트화하면 반수 치사량이 100배 증가하여 요오드화 X선 조영제와 거의 비슷해진다.[76] MRI 조영에 사용되는 Gd 킬레이트의 캐리어 분자는 대환상 또는 직선 구조인지, 이온성인지에 따라 분류할 수 있는데, 환상 이온성 Gd (III) 화합물이 Gd (III) 이온 방출 가능성이 가장 낮아 가장 안전하다고 알려져 있다.[77]
가돌리늄은 여러 번의 MRI 촬영 후 오랜 기간이 지나도 체내에 남는다는 사실이 밝혀졌다. 가돌리늄 조영제가 인체에 유해하다는 증거는 아직 발표되지 않았지만, 이러한 잔존이 건강에 어떤 영향을 미칠지는 미지수이다.[78]
미국 식품의약국(FDA)은 가돌리늄 조영제를 여러 번 사용할 경우, 필요한 정보를 얻을 수 있는 횟수로 제한하도록 의사에게 요청하고 있다.[78] 가돌리늄 조영제 사용은 잔존 가능성을 신중하게 고려하여 결정해야 하며, 평생 여러 번 투여가 필요한 환자, 임신 중이거나 소아 환자, 염증성 질환이 있는 환자에게는 특히 주의해야 한다. GBCA 영상 검사, 특히 간격이 짧은 MRI 검사의 반복은 가능한 한 최소화해야 하지만, 필요한 경우에는 검사를 피하거나 연기해서는 안 된다.[80]
참조
[1]
웹사이트
Magnetic resonance contrast agents
http://magnetic-reso[...]
TRTF – The Round Table Foundation / EMRF – European Magnetic Resonance Forum
[2]
간행물
Classification and basic properties of contrast agents for magnetic resonance imaging
[3]
서적
Metal Ions in Bio-Imaging Techniques
Springer
[4]
서적
Metal Ions in Bio-Imaging Techniques
Springer
[5]
보고서
Bayer presentation to the September 8, 2017 meeting of the Medical Imaging Drugs Advisory Committee
https://www.fda.gov/[...]
Bayer HealthCare Pharmaceuticals Inc.
2022-04-01
[6]
간행물
Breath-hold gadolinium-enhanced MR angiography of the major vessels at 1.0 T: Dose-response findings and angiographic correlation
[7]
간행물
The T2-shortening effect of gadolinium and the optimal conditions for maximizing the CNR for evaluating the biliary system: a phantom study
[8]
간행물
MRI contrast agents: Classification and application (Review)
2016-11
[9]
간행물
Imaging mechanisms of disease progression in multiple sclerosis: Beyond brain atrophy
2020-05
[10]
보고서
EMA recommendations on gadolinium-containing contrast agents
http://www.ema.europ[...]
European Medicines Agency
2018-07-12
[11]
간행물
Gadolinium based contrast agents (GBCA): Safety overview after 3 decades of clinical experience
https://pubmed.ncbi.[...]
2016-12
[12]
보고서
Information on gadolinium-containing contrast agents
https://www.fda.gov/[...]
2018-07-12
[13]
웹사이트
Gadolinium Based Contrast Dosing Charts
https://www.radiolog[...]
[14]
간행물
Gadolinium retention: A research roadmap from the 2018 NIH / ACR / RSNA workshop on gadolinium chelates
2018-11
[15]
웹사이트
Elucirem- gadopiclenol injection
https://dailymed.nlm[...]
2022-10-12
[16]
뉴스
EMAs final opinion confirms restrictions on the use of linear gadolinium agents
https://www.ema.euro[...]
European Medicines Agency
2018-09-17
[17]
간행물
Gadolinium – a specific trigger for the development of nephrogenic fibrosing dermopathy and nephrogenic systemic fibrosis?
[18]
간행물
Nephrogenic systemic fibrosis: Suspected causative role of gadodiamide used for contrast-enhanced magnetic resonance imaging
[19]
간행물
Nephrogenic fibrosing dermopathy associated with exposure to gadolinium-containing contrast agents
Centers for Disease Control and Prevention
[20]
간행물
Is there a causal relation between the administration of gadolinium based contrast media and the development of nephrogenic systemic fibrosis (NSF)?
[21]
간행물
ACR Guidance Document for Safe MR Practices: 2007
[22]
웹사이트
Gadolinium and NSF: What is fact and what is theory?
http://www.c2i2.org/[...]
2023-07-23
[23]
간행물
Late onset nephrogenic systemic fibrosis in a patient with stage 3 chronic kidney disease: A case report
2020-09-07
[24]
간행물
Two cases of nephrogenic systemic fibrosis after exposure to the macrocyclic compound gadobutrol
2010-06
[25]
웹사이트
Questions and Answers
http://www.ismrm.org[...]
International Society for Magnetic Resonance in Medicine
[26]
간행물
Gadolinium deposition disease (GDD): Does the missing link exist? – A suggested pathologic model
[27]
간행물
Gd-DOTA: characterization of a new paramagnetic complex
1988-03
[28]
보고서
Profil toxicologique des chélates de gadolinium pour l'IRM : où en est-on ?
https://www.acadphar[...]
Academie de pharmacie
[29]
간행물
What nephrologists need to know about gadolinium
[30]
간행물
Classification of gadolinium-based contrast agents (GBCAs) – adverse reactions
https://boris.unibe.[...]
[31]
간행물
Brain tissue gadolinium retention in pediatric patients after contrast-enhanced magnetic resonance exams: Pathological confirmation
https://pubmed.ncbi.[...]
2020-03
[32]
간행물
Macrocyclic MR contrast agents: Evaluation of multiple-organ gadolinium retention in healthy rats
2020-02-04
[33]
간행물
Gadolinium-based MRI contrast agents induce mitochondrial toxicity and cell death in human neurons, and toxicity increases with reduced kinetic stability of the agent
https://pubmed.ncbi.[...]
2019-08
[34]
간행물
Gadolinium retention in the brain: An MRI relaxometry study of linear and macrocyclic gadolinium-based contrast agents in multiple sclerosis
2019-08
[35]
보고서
FDA evaluating the risk of brain deposits with repeated use of gadolinium-based contrast agents for magnetic resonance imaging (MRI)
https://www.fda.gov/[...]
FDA
2019-06-18
[36]
논문
Safety of intrathecal administration of gadolinium-based contrast agents: A systematic review and meta-analysis
https://pubmed.ncbi.[...]
2021-08-20
[37]
논문
Fatal gadolinium-induced encephalopathy following accidental intrathecal administration: A case report and a comprehensive evidence-based review
2019-04-25
[38]
논문
Gadolinium-based Contrast Media, Cerebrospinal Fluid and the Glymphatic System: Possible Mechanisms for the Deposition of Gadolinium in the Brain
2018-04-10
[39]
AV media
Webinar on the role of the glymphatic system, and the growing awareness with gadolinium (Gd) deposits found in the brain
https://www.guerbet.[...]
[40]
웹사이트
https://www.ema.euro[...]
[41]
웹사이트
FDA warns that gadolinium-based contrast agents (GBCAs) are retained in the body; requires new class warnings
2017-12-19
[42]
웹사이트
FDA warns gadolinium based contrast agents gbcas are retained body; requires new class warnings
https://www.fda.gov/[...]
2018-05-16
[43]
보고서
Gadolinium pic RI reeval rapport annexe
https://www.has-sant[...]
2021-08-19
[44]
보고서
Pharmaceuticals: Restrictions in use and availability
https://www.who.int/[...]
World Health Organization
[45]
논문
MRI in pregnancy: Indications and practical considerations
[46]
논문
Tumor-detecting capacity and clinical usefulness of SPIO-MRI in patients with hepatocellular carcinoma
[47]
논문
Steady-state ferumoxytol-enhanced MRI: Early observations in benign abdominal organ masses and clinical implications
2021-10-24
[48]
웹사이트
Feridex
http://www.amagpharm[...]
2012-06-20
[49]
웹사이트
Magnetic resonance TIP – MRI database : Resovist
http://www.mr-tip.co[...]
Softways
2012-06-20
[50]
웹사이트
Update on Sinerem (TM) in Europe
http://www.thefreeli[...]
AMAG Pharmaceuticals
2012-06-20
[51]
웹사이트
Newly approved drug therapies (105) GastroMARK (Advanced Magnetics)
http://www.centerwat[...]
CenterWatch
2012-06-20
[52]
웹사이트
AMAG form 10-K for the fiscal year ended December 31, 2013
https://www.sec.gov/[...]
SEC / Edgar
[53]
웹사이트
NDA 020410 for GastroMark
https://www.accessda[...]
FDA
2017-02-12
[54]
논문
Superparamagnetic iron oxide based MRI contrast agents: Current status of clinical application
[55]
웹사이트
Clariscan 0.5 mmol / ml solution for injection
http://www.mhra.gov.[...]
GE Healthcare AS
2017-02-28
[56]
논문
Multifunctional iron platinum stealth immunomicelles: Targeted detection of human prostate cancer cells using both fluorescence and magnetic resonance imaging
[57]
서적
Metal Ions in Bio-Imaging Techniques
Springer
[58]
논문
MRI contrast agents for evaluating focal hepatic lesions
[59]
논문
Manganese-enhanced MRI of the brain in healthy volunteers
2019-08
[60]
논문
Manganese-enhanced MRI in patients with multiple sclerosis
2020-08
[61]
논문
Manganese-enhanced magnetic resonance imaging (MEMRI)
[62]
논문
Manganese ion enhances T1-weighted MRI during brain activation: An approach to direct imaging of brain function
[63]
논문
Development of Manganese-Based Nanoparticles as Contrast Probes for Magnetic Resonance Imaging
[64]
서적
Computed Body Tomography with MRI Correlation
https://archive.org/[...]
Lippincott Williams & Wilkins
[65]
논문
Perflubron as a gastrointestinal MR imaging contrast agent in the pediatric population
[66]
논문
Design of a novel class of protein-based magnetic resonance imaging contrast agents for the molecular imaging of cancer biomarkers
[67]
논문
PEGylation of protein-based MRI contrast agents improves relaxivities and biocompatibilities
[68]
논문
Design of ProCAs (protein-based Gd3+ MRI contrast agents) with high dose efficiency and capability for molecular imaging of cancer biomarkers
[69]
논문
Molecular imaging of EGFR/HER2 cancer biomarkers by protein MRI contrast agents
[70]
서적
Magnetic Resonance in Medicine
http://www.magnetic-[...]
2019-03
[71]
논문
Classification and basic properties of contrast agents for magnetic resonance imaging
[72]
논문
Breath-hold gadolinium-enhanced MR angiography of the major vessels at 1.0 T: Dose-response findings and angiographic correlation
[73]
웹사이트
EMA recommendations on Gadolinium-containing contrast agents
http://www.ema.europ[...]
ema.europa.eu
2018-07-12
[74]
웹사이트
Information on Gadolinium-Containing Contrast Agents
http://www.fda.gov/D[...]
Fda.gov
2018-07-12
[75]
논문
Adverse reactions to gadolinium contrast media: A 1996 review of 36 cases
http://www.ajronline[...]
1996-10-01
[76]
논문
What nephrologists need to know about gadolinium
[77]
웹사이트
Questions and Answers
http://www.ismrm.org[...]
International Society for Magnetic Resonance in Medicine
2019-03-XX
[78]
웹사이트
FDA薬品安全情報
http://www.fda.gov/D[...]
[79]
간행물
資料2-3 「ガドリニウム造影剤の使用上の注意の改訂について」
https://www.mhlw.go.[...]
厚生労働省
2017-11-17
[80]
웹사이트
FDA warns that gadolinium-based contrast agents (GBCAs) are retained in the body; requires new class warnings
https://www.fda.gov/[...]
2019-03-XX
[81]
웹사이트
MRI造影剤の副作用とその対処法について教えてください。
http://nyugan.info/m[...]
大鵬薬品
[82]
웹사이트
MRI検査の時に注射されるお薬に副作用があると聞きましたが?
http://nyugan.info/a[...]
大鵬薬品
[83]
논문
Gadolinium - a specific trigger for the development of nephrogenic fibrosing dermopathy and nephrogenic systemic fibrosis?
[84]
논문
Nephrogenic Systemic Fibrosis: Suspected Causative Role of Gadodiamide Used for Contrast-Enhanced Magnetic Resonance Imaging
[85]
논문
Nephrogenic fibrosing dermopathy associated with exposure to gadolinium-containing contrast agents--St. Louis, Missouri, 2002-2006
[86]
PDF
腎障害患者におけるガドリニウム におけるガドリニウム造影剤使用に関するガイドライン第2版:2009年9月2日改訂
https://cdn.jsn.or.j[...]
NSFとガドリニウム造影剤使用に関する合同委員会(日本医学放射線学会・日本腎臓学会)
[87]
논문
Is there a causal relation between the administration of gadolinium based contrast media and the development of nephrogenic systemic fibrosis (NSF)?
[88]
논문
ACR Guidance Document for Safe MR Practices: 2007
[89]
웹사이트
Gadolinium and NSF What is fact and what is theory?
http://www.c2i2.org/[...]
2019-03-XX
[90]
웹사이트
Pharmaceuticals: Restrictions in Use and Availability
http://www.who.int/m[...]
World Health Organization
2019-03-XX
[91]
논문
Tumor-detecting capacity and clinical usefulness of SPIO-MRI in patients with hepatocellular carcinoma
[92]
웹사이트
Magnetic Resonance TIP - MRI Database : Resovist
http://www.mr-tip.co[...]
Mr-tip.com
2012-06-20
[93]
웹사이트
AMAG Pharmaceuticals, Inc. Announces Update on Sinerem(TM) in Europe. - Free Online Library
http://www.thefreeli[...]
Thefreelibrary.com
2012-06-20
[94]
웹사이트
Newly Approved Drug Therapies (105) GastroMARK, Advanced Magnetics
http://www.centerwat[...]
CenterWatch
2012-06-20
[95]
웹사이트
AMAG Form 10-K For the Fiscal Year Ended December 31, 2013
https://www.sec.gov/[...]
SEC Edgar
2019-03-XX
[96]
웹사이트
NDA 020410 for GastroMark
https://www.accessda[...]
FDA
2017-02-12
[97]
논문
Superparamagnetic iron oxide based MRI contrast agents: Current status of clinical application
[98]
웹사이트
イギリス政府発表
http://www.mhra.gov.[...]
[99]
논문
Multifunctional iron platinum stealth immunomicelles: Targeted detection of human prostate cancer cells using both fluorescence and magnetic resonance imaging
[100]
논문
Development of Manganese-Based Nanoparticles as Contrast Probes for Magnetic Resonance Imaging
[101]
논문
MRI Contrast Agents for Evaluating Focal Hepatic Lesions
[102]
논문
Manganese-enhanced magnetic resonance imaging (MEMRI)
[103]
논문
Manganese ion enhances T1-weighted MRI during brain activation: An approach to direct imaging of brain function
[104]
서적
Computed Body Tomography with MRI Correlation
[105]
논문
Perflubron as a gastrointestinal MR imaging contrast agent in the pediatric population
[106]
논문
Design of a novel class of protein-based magnetic resonance imaging contrast agents for the molecular imaging of cancer biomarkers
[107]
논문
PEGylation of protein-based MRI contrast agents improves relaxivities and biocompatibilities
[108]
논문
Design of ProCAs (Protein-Based Gd3+ MRI Contrast Agents) with High Dose Efficiency and Capability for Molecular Imaging of Cancer Biomarkers
[109]
논문
Molecular imaging of EGFR/HER2 cancer biomarkers by protein MRI contrast agents.
[110]
서적
Magnetic Resonance in Medicine. A critical introduction.
TRTF – The Round Table Foundation / EMRF – European Magnetic Resonance Forum
[110]
웹인용
Magnetic resonance contrast agents
http://magnetic-reso[...]
본 사이트는 AI가 위키백과와 뉴스 기사,정부 간행물,학술 논문등을 바탕으로 정보를 가공하여 제공하는 백과사전형 서비스입니다.
모든 문서는 AI에 의해 자동 생성되며, CC BY-SA 4.0 라이선스에 따라 이용할 수 있습니다.
하지만, 위키백과나 뉴스 기사 자체에 오류, 부정확한 정보, 또는 가짜 뉴스가 포함될 수 있으며, AI는 이러한 내용을 완벽하게 걸러내지 못할 수 있습니다.
따라서 제공되는 정보에 일부 오류나 편향이 있을 수 있으므로, 중요한 정보는 반드시 다른 출처를 통해 교차 검증하시기 바랍니다.
문의하기 : help@durumis.com
